Секреты голливудской улыбки: как профессиональное отбеливание меняет ваш вид?
Пожалуй, каждый человек мечтает о яркой, белоснежной улыбке, как у голливудских актёров, однако от природы такие зубы достаются очень редко. Но это не повод расстраиваться — сделать улыбку привлекательной и красивой вполне реально благодаря современным стоматологическим процедурам, например, отбеливанию. По словам врачей КДС, профессиональное отбеливание — одна из самых популярных услуг, которые предоставляются в клинике. В чём секрет такой востребованности, как именно проходит процедура и как продлить длительность эффекта — разберёмся далее.

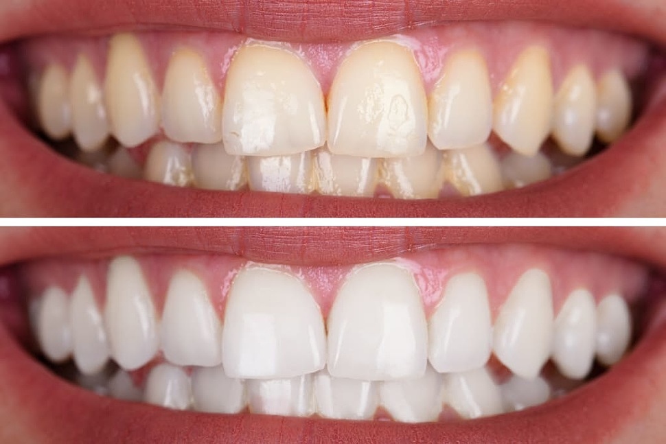
Что такое отбеливание зубов?
В стоматологии отбеливанием называют неинвазивную процедуру, которая заключается в обработке поверхности зубов специальным гелем, осветляющим эмаль на несколько тонов. При этом он не повреждает её структуру, не разрушает и не делает зубы более уязвимыми к внешним раздражителям. Процедура проходит в несколько этапов:
- Консультация. Сначала врач проводит осмотр и определяет, можно ли делать процедуру, ведь у неё есть свои противопоказания. Если всё в порядке, вместе со стоматологом вы выбираете желаемую степень отбеливания.
- Подготовка. Прежде чем выполнять осветление эмали, необходимо сделать профессиональную чистку. Зубной налёт служит механическим барьером для активных компонентов отбеливающего геля, поэтому без предварительной чистки желаемого результата просто не будет.
- Непосредственно отбеливание. Врач наносит гель на поверхность зубов и равномерно его распределяет. Процедура занимает в среднем около 20 минут.
Однако помните, что «голливудский» результат возможен не всегда. Профессиональное отбеливание — это возможность сделать зубы естественно белыми, то есть достичь цвета, предусмотренного генетически. Процедура избавляет от жёлтых пятен, тёмного оттенка, сформировавшегося под влиянием еды, напитков или курения. Если ваша цель — снежно-белый цвет, лучше рассмотреть установку виниров на линию улыбки, но это уже совсем другая история.
Как отбеливание зубов влияет на ваш внешний вид в целом?
Прежде всего, отбеливание полезно для здоровья зубов, ведь ему обязательно предшествует профессиональная чистка — избавление от налёта и бактерий. Кроме того, яркая белая улыбка:
- Делает внешний вид более свежим. Лицо может казаться даже моложе, а ещё белые зубы позволяют женщинам использовать помаду ярких цветов. Например, насыщенный красный не рекомендуется, если у вас жёлтый оттенок зубов, иначе при улыбке они будут казаться ещё желтее.
- Повышает уверенность в себе. Когда у вас здоровые белые зубы, вы уверенно улыбаетесь и чувствуете себя намного лучше, чем когда приходится всё время прикрывать рот рукой, чтобы никто не увидел желтизну.
- Демонстрирует ваше заботу о собственном здоровье и внешности. Когда окружающие видят вашу белую привлекательную улыбку, они понимают, что вы готовы тратить время на поддержание здоровья полости рта.
Таким образом, отбеливание — это не только поддержка здоровья зубов, но и инвестиция в собственный психологический комфорт.

Профессиональное vs. домашнее отбеливание — в чём разница?
Пытаясь сэкономить время и деньги, некоторые люди прибегают к методам домашнего отбеливания. Среди них — использование соды, перекиси водорода, активированного угля и т.д. Подробно о них мы писать не будем, поскольку не имеем цели навредить вашему здоровью. Что не так с этими методами? Они действительно могут сработать, удалив налёт и тем самым осветлив зубы на несколько тонов, но «бонусом» вы получите повреждение эмали, микротрещины, из-за которых повышается чувствительность и появляются другие проблемы.
Помимо народных способов, существуют также наборы для отбеливания со специальными средствами. Их эффективность близка к профессиональной процедуре, однако здесь есть значительный риск повредить эмаль из-за отсутствия знаний и опыта. Поэтому лучше всего запланировать визит к стоматологу — так вы будете уверены, что получите желаемый результат без негативных последствий для эмали.
Как сохранить результаты отбеливания?
Даже профессиональная процедура обеспечивает результат на ограниченный срок — примерно полгода-год в зависимости от вашего образа жизни, соблюдения правил гигиены и т.д. После этого её желательно повторить, если вы хотите и дальше наслаждаться белыми зубами. Однако длительность эффекта можно продлить, соблюдая простые правила:
- Отдавайте предпочтение «белой» диете. Вообще она рекомендуется в первые несколько дней после отбеливания и заключается в отказе от продуктов и напитков с красящим эффектом. Но можно избегать такой еды и дальше, чтобы зубы оставались белыми как можно дольше. Небольшой лайфхак: красящие напитки можно пить через трубочку — так они не контактируют с зубами.
- Бросьте курить. Вообще желание иметь красивую белую улыбку и курение — взаимоисключающие понятия. Поэтому, если у вас ещё есть эта вредная привычка, самое время попрощаться с ней, ведь её результат — неприятные жёлтые пятна, которые не удаляются обычной зубной пастой, постепенное разрушение зубов и т.д.
- Соблюдайте качественную гигиену. Для этого врач может порекомендовать специальные пасты, ополаскиватели и т.д. После каждого приёма пищи следует полоскать полость рта, а после вечерней чистки зубов — ничего не есть и не пить.
Кроме того, никто не отменял регулярные визиты к стоматологу. Это не только профилактика различных заболеваний, но и возможность поддерживать привлекательный цвет зубов профессиональной чисткой.
